Auteur |
Message |
vivi thepaut
|
Sujet du message : Blurring Publié : 05 Fév 2007 09:11 |
|
 |
Discret |
 |
Inscription : 21 Sep 2006 18:26 Message(s) : 6
|
Quelqu'un peut il m'expliquer les causes du blurring et le principe physique car je ne trouve pas grand chose sur ce sujet
merci A+
|
|
 |
|
 |
kitkathy
|
Sujet du message : Publié : 05 Fév 2007 18:36 |
|
Inscription : 02 Mars 2004 19:58 Message(s) : 2354 Localisation : Nord
|
Je n'ai jamais entendu parler de ça, mais vite fait, petite recherche sur Google + dico anglais : "a blurred image" c'est une image floue. Apparemment, ce serait simplement dû au flou de mouvement du patient et aussi au choix d'une résolution médiocre (FOV et matrice à revoir).
Si d'autres ont d'autres infos n'hésitez pas!
_________________ Notre interprétation de ce que l'on voit dépend beaucoup de ce que l'on s'attend à trouver
|
|
 |
|
 |
higgins
|
Sujet du message : Publié : 06 Fév 2007 11:31 |
|
Inscription : 28 Juin 2005 14:07 Message(s) : 14 Localisation : ici et ailleurs
|
bonjour,
le blurring est plus communément appelé troncature.
Il a lieu au contact des interfaces entre 2 tissus de signal très différents.
Il se caractérise par de fines lignes parallèles à l'interface de ces tissus.
En fait, il est dû à la difficulté du système d'échantillonner une variation brutale de signal entre 2 pixels contigus.
Pour le diminuer on peut augmenter la matrice ou diminuer le champ de vue (à matrice égale).
|
|
 |
|
 |
kitkathy
|
Sujet du message : Publié : 06 Fév 2007 19:04 |
|
Inscription : 02 Mars 2004 19:58 Message(s) : 2354 Localisation : Nord
|
Merci higgins! Bon, alors pourquoi aller chercher anglais alors qu'on a un bon équivalent français !?! 
_________________ Notre interprétation de ce que l'on voit dépend beaucoup de ce que l'on s'attend à trouver
|
|
 |
|
 |
higgins
|
Sujet du message : Publié : 07 Fév 2007 21:49 |
|
Inscription : 28 Juin 2005 14:07 Message(s) : 14 Localisation : ici et ailleurs
|
Petite précision: En fait je ne me suis pas très bien expliqué, le blurring est un artéfact équivalent à l'artéfact de troncature. Le blurring donne un flou d'image (comme son nom l'indique!), il apparaît lors d'une séquence d'echo de spin rapide (fse ou tse). Il est dépendant de la longueur du train d'echo et du TE effectif. Si l'espace inter-echo est trop important, il y aura une différence de signal importante entre 2 lignes du plan de fourrier, d'où un problème pour le système d'échantillonner cette différence de signal lors du codage (comme pour la troncature) et donc il en résulte un flou de l'image (qui peut s'apparenter à un mouvement du patient).
Ce sera plus précis comme ça !
|
|
 |
|
 |
blibuk
|
Sujet du message : Re: Blurring Publié : 03 Fév 2009 16:58 |
|
Inscription : 03 Sep 2005 10:40 Message(s) : 22
|
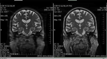
Tu as raison de préciser Higgins que ce n'est pas l'artéfact de troncature... Cet artéfact est dû à une trop grande différence de pondération entre le TE effectif (TE eff) qui va coder pour les lignes centrales de l'espace de Fourier et la pondération du dernier écho du train d'échos (TE max) qui lui, va coder les lignes périphériques de l'espace K. Dans l'exemple ci-dessous, vous pouvez trouver une image volontairement mal paramétrée pour créer du blurring (Train d'écho trop grand) et une image optimisée (paramètres réglés pour que le TE effectif soit au centre du train d'échos). Cet artéfact est souvent confondu avec l'artéfact de mouvement ou est souvent pris pour une mauvaise résolution spatiale...
Pièces jointes : |

blurring anonyme.jpg [ 25.21 Kio | Consulté 49948 fois ]
|
_________________ La formation à distance en imagerie médicale... http://eticeo.comVotre portfolio de professionnel de santé http://medzone.fr
|
|
 |
|
 |
|